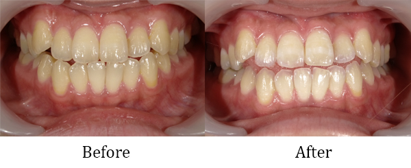
オパールエッセンス ホワイトニングはホワイトニングは、素晴らしい笑顔をもたらします

プロに任せて短時間で白い歯を実現!(オフィスホワイトニング)
ホームホワイトニングを同時に行うコースもあります(デュアルホワイトニング)
10分×3回照射
-------------------3.3000円(税込み)
◆POINT
自宅でゆっくりと納得いくまで白くしたい(ホームホワイトニング)
専用マウストレー制作 ホームホワイトニングシリンジ2本付き
-------------------16,500円(税込み)
神経をとった歯のホワイトニング(ウオーキング・ブリーチ) ポリリンホワイトニング 1回 1.1000円
-------------------1回5,500円(税込み)